脳萎縮
- 2025年11月28日
- 頭部病変(Brain/Head)
みなさんこんにちは!
ブログ担当技師です。
今回は脳萎縮の症例ついてご紹介します。
■症例背景
脳ドックにて脳MRIを受けられ、見つかった症例
■症例画像
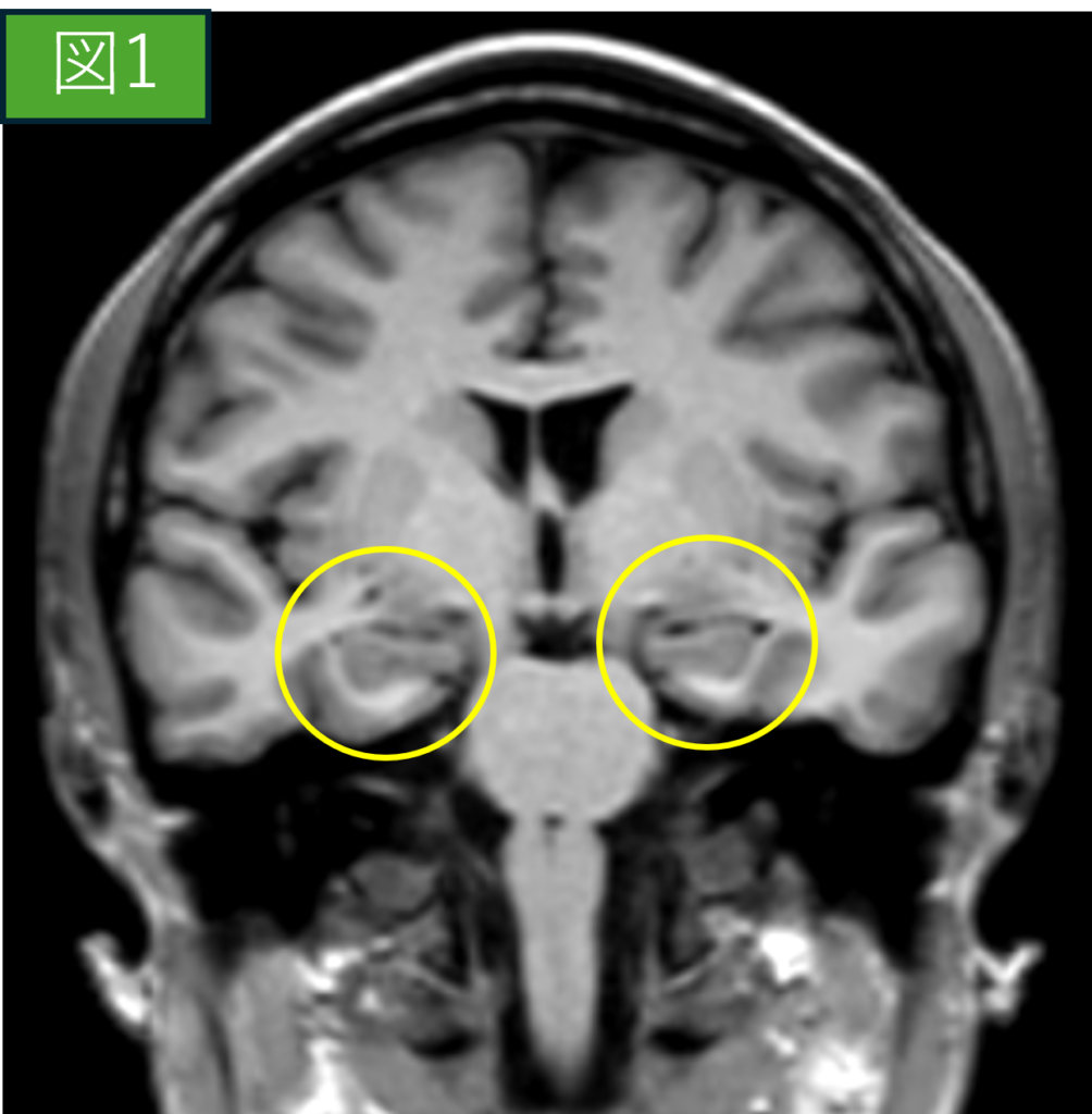
正常MRI画像(冠状断像)

脳萎縮MRI画像(冠状断像)


脳萎縮は、アルツハイマー型認知症などの原因として知られており、当院では記憶領域を司る海馬(海馬の位置は上記:Wikipedia参照)を参考に脳萎縮を評価しています。海馬が萎縮すると記憶力の低下や認知症の発症の原因となります。
この海馬の萎縮は、加齢と共に進行しますが、生活習慣によっては進行を遅らせることが出来ますので、早期に萎縮を見つける事は重要です。
症例画像から図1(正常画像)・図2(脳萎縮画像)
〇内が海馬を示しています。
正常の海馬は成人であれば6cm程の大きさであり、加齢や生活習慣によってはさらに小さくなります。図1と図2を比較すると脳全体の萎縮や海馬の萎縮も顕著に見られた症例です。
当院で行っているMRIでの脳萎縮検査をご紹介します
■脳萎縮の特殊な検査方法
- VSRAD
- BrainSuite
① VSRAD
VSRADは、MRI画像からアルツハイマー型認知症の原因となる脳の萎縮を評価する検査です。脳の記憶の関わる重要な海馬や傍海馬回の萎縮を数値で評価することで早期診断を支援します。
◆ VSRADの特徴
- 脳の萎縮度を数値化
- 萎縮部位を視覚的に評価
- アルツハイマー型認知症の早期診断支援
◆ VSRAD注意点
VSRAD単体の結果だけでアルツハイマー型認知症の確定診断をするのではなくあくまで総合的な診断に用いられる検査の一つです。
○ 対象年齢について
VSRADは主に50歳以上の方が対象であり50歳未満の方では個人差により結果が過大評価されるなどの信頼性が下がることがあります。そのため50歳未満の方は後ほどご説明するBrainSuiteがおすすめです。
■ VSRAD解析結果の例

◆ 確認項目
○ VOI内萎縮度(内側側頭部の萎縮度)の数値で評価されています
0~1: アルツハイマー型認知症の可能性は低い
1~2: やや萎縮が見られるため、今後の経過観察が必要
2~3: かなりの萎縮が見られ、アルツハイマー型認知症の可能性が高い
3以上: 脳に強い萎縮が見られ、治療が必要なレベル
○ カラーマップ
VSRADの解析結果では、MRI画像に脳の萎縮部位が色分けされて重ねて表示されます。
これにより、脳のどの部分が、どれくらいの強さで萎縮しているかを視覚的に捉えることができます。
② Brainsuite
Brainsuiteは、脳医学とAI技術を組み合わせた検査で海馬の大きさ(体積)を測定する検査です。
VSRADでは脳萎縮の診断を目的としていますが、Brainsuiteでは、予防を目的としています。
海馬の萎縮は30代から始まる事が分かっており、早いうちから現在の状態を知ることで、将来的な認知症に対して予防のきっかけを作るものです。
◆ Brainsuiteの特徴
- 海馬の大きさを測定する事で認知症の早期対策
- 脳の健康状態を定期的に確認(定期的に行う事で経過を観察することが出来ます)
- 生活習慣からの脳への影響が分かる(10年後の海馬の大きさを予測できる)
- VSRADと異なり50歳未満の方でも制限なく行えます
- 同封する解析結果に海馬育成サポートツールというオンラインテストがあります。これにより生活習慣の脳に与える影響の評価が出来ます。
◆ Brainsuite注意点
保険適用外のため保険での検査が行えない
※当院では脳ドックのオプションメニューになります
Brainsuite解析結果の例



■ まとめ
MRI検査によって脳萎縮が見つかった症例です。脳の萎縮は年齢と共に進行していきます。早い段階から対策をとることで将来の認知症の予防に繋げる事が出来ます。当院では、2種類の検査を行っており、ご紹介させていただきました。ご興味がある方は下記の当院HPをご参照下さい。
電話番号:06-6990-6070