CTで見つかった脂肪肝|新大阪画像の森診断クリニック|大阪の画像診断専門クリニック

ヘッダー画像

ブログ記事

CTで見つかった脂肪肝|新大阪画像の森診断クリニック|大阪の画像診断専門クリニック

CTで見つかった脂肪肝

みなさんこんにちは​。

ブログ担当技師です。​​​

​​今回は脂肪肝の症例ついてご紹介します。

■背景

採血や画像検査(CT、エコー)などで診断がつきます。
当院では主に画像ドックで発見されます。

■症例画像

腹部CT画像(症例画像)

正常画像

 

腹部CT画像(内臓脂肪解析)

症例画像

 

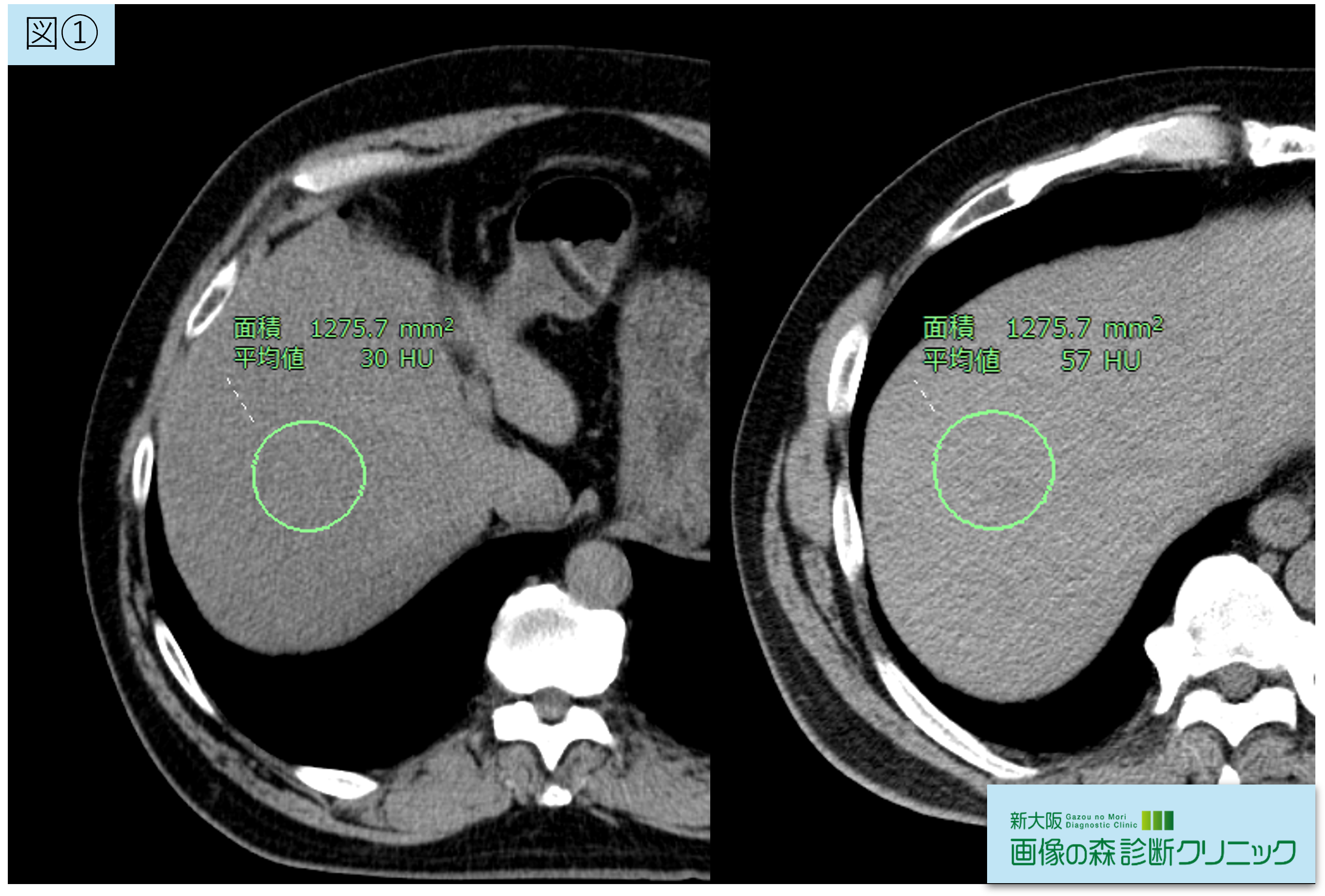
図①は脂肪肝と診断がついた時の画像(左)と、
その1年後に脂肪肝の改善があった画像(右)です。
画像内の〇で囲われた範囲はCT値を測定しています。
肝臓のCT値が40HU以下または、肝脾比が0.9以下の場合に脂肪肝の可能性が高く、
採血データと合わせて診断がつきます。
ドックの方だと図②のように皮下脂肪と内臓脂肪を測定しています。
図①と同じ患者様のデータで、脂肪肝と同様に改善傾向が見受けられます。
脂肪肝や内臓脂肪の改善は食生活の見直しや有酸素運動によるダイエットが効果的です。

■まとめ

脂肪肝は治療せず慢性化すると脂肪肝炎(NASH)を引き起こします。
5~10年で肝硬変、肝細胞癌へと重症化する疾患です。
体重の減少(5~10%)で脂肪肝の改善が期待できますので、
早期発見・早期対策を行いましょう。
また、当院ではメディカルダイエット外来の相談も承っておりますので、
気になる方は、お気軽にお問い合わせください。

メディカルダイエット外来はこちらから

電話番号:06-6990-6070

LINE  :お友達登録はこちらから

※ 一般外来予約は、お電話またはLINEからご予約いただけます。

トップ