画像ドック
画像ドック
◆画像ドックで要精密検査となった場合◆
精密検査を要する所見が見つかった場合には、ご希望の医療施設での精査・治療ができるよう紹介状を作成いたします。
ご希望の医療施設がない場合には、最適な施設をご紹介いたします。
◆当日結果説明◆
下記の各ドック、単体でのご予約は当日の画像説明が可能です。
脳ドック、Fast脳ドック、肺ドック、乳腺ドック、子宮・卵巣ドック
※乳腺ドックは、隔週木曜日・2026年3月以降の第二・第四土曜日・日曜日に限り当日画像説明が不可です。
※後日結果説明対象の画像ドックと同日に複数のドックをご受診の場合には、各ドックとも【後日結果説明のみ】とさせていただきます。
◆後日結果説明◆
後日結果説明ご希望の方は、保険診療(3割負担の場合870円)にて医師との対面診察形式でのご説明をいたします。
(自由診療の場合は別料金です)。
◆画像データのご提供◆
有償(CD-R画像作成代2,000円)にてご提供可能です。
◆医療ツーリズムでの検査◆
医療ツーリズムにてご来日の皆さまは価格が異なりますので
当院宛てに お電話(06-6990-6070)・メール(info@gazounomori.com)にてご相談ください。
The menus or prices for foreign medical tourists are different from the regular menus or prices. Please feel free to ask us !
※患者さまご自身の都合により検査続行不可となった場合※
検査開始後 に患者さまご自身の都合により検査を途中で取りやめた場合には
検査費用の返金・減額 等はできかねますので、あらかじめご了承ください。
プレミアムALL IN ONEドックは、画像診断装置(MRI、CT、エコー)を用いて全身のスクリーニング検査を行う事が出来ます。 スタンダードALL IN ONEドックでも全身のスクリーニングが出来ますが、プレミアムALL IN ONEドックでは、スタンダードALL IN ONEドックの内容に加えて 専用の撮影方法で行う腹部MRIや心臓エコーを追加しています。 スタンダードALL IN ONEドックでは描出困難な小さな病変も描出することができ、より質の高いスクリーニングとなります。 一度の検査で全身を詳細に調べたい方におすすめです。
【男性】
● MRI(脳MRI+脳MRA+[VSRAD]・前立腺・腹部MRI+MRCP)+CT(胸腹部~骨盤)+心臓エコー+採血(腫瘍マーカーピロリ菌含む9項目+一般項目+感染症)
【女性】
●MRI(脳MRI+脳MRA+[VSRAD]・乳腺・子宮卵巣・腹部MRI+MRCP)+CT(胸腹部~骨盤) +心臓エコー+採血(腫瘍マーカーピロリ菌含む11項目+一般項目+感染症)

●男性 2時間程度 ●女性 2時間30分程度 (適度に休憩をしていただき検査を進めていきます)
検査日から2~3週間後を目安に郵送いたします。
医師による検査結果をご希望の場合は、後日受診してください。(保険診療)
スタンダードALL IN ONEドックは、MRIとCTを利用して全身のスクリーニング検査を行います。 特にそれぞれの部位に特化した装置や撮影法で調べる事ができ、がんだけでなく、様々な病気を調べることが出来ます。 近年、生活習慣病が増加傾向にあり、それに起因する病気も増えてきています。 今まで、検査をして来なかった方などに特におすすめいたします。
【男性】
●MRI(脳MRI+[VSRAD]・前立腺)+CT(胸腹部~骨盤) +採血(腫瘍マーカーピロリ菌含む8項目+一般項目+感染症)
【女性】
●MRI(脳MRI+[VSRAD]・子宮卵巣・乳腺)+CT(胸腹部~骨盤)+採血(腫瘍マーカーピロリ菌含む10項目+一般項目+感染症)

●男性 1時間30分程度 ●女性 2時間程度
検査日から2~3週間後を目安に郵送いたします。
医師による検査結果をご希望の場合は、後日受診してください。(保険診療)

脳卒中などの脳血管疾患は突発的に発症します。特に脳動脈瘤は決して珍しい病気ではなく、人口の3%が保有していると言われています。脳動脈瘤が破裂してくも膜下出血を発症すると半分が死亡し、助かった方も重篤な後遺症が残る非常に危険な病気です。しかし未破裂の状態では自覚症状がないことが多いか、あっても気がつかないことが多いため、早期発見が重要となります。その他の脳の様々な病気についても、頭のMRI検査でそれぞれ診断と予防に関する情報を得ることが可能です。また当院では、オプションで早期アルツハイマー型認知症診断(VSRAD)や認知症予防検査(BrainSuite)も行っております。現在の脳の萎縮の程度や脳の血流を確認する機会として是非ご利用ください。

VSRADとは、脳の萎縮度合いをMRI検査で撮影し、解析することで早期アルツハイマー型認知症を診断することができる検査方法のことです。 人間の脳は、加齢とともに萎縮が進行すると、物忘れが頻繁に起きるなどの症状が起きます。このような症状は、少しずつ進行するので発見が遅れたりすることも多く見られます。このような場合、VSRADを行うことで早期アルツハイマー型認知症をいち早く正確に診断することが可能です。

BrainSuiteとは、頭部MRI画像を人工知能(AI)により解析し、東北大学による脳医学研究成果をもとに海馬の体積を測定・解析します。 脳の萎縮は、年齢を重ねるほど脳の形態(萎縮度)に差が見られます。海馬の萎縮は、ストレスや生活習慣が大きな要因であり、若いうちから脳の萎縮傾向に気付き、生活習慣を変えることによって、認知症の予防に繋げることができます。VSRADはアルツハイマー型認知症の早期発見、BrainSuiteでは認知症の予防を目的としており、定期的にBrainSuiteを受けることで、生活習慣の改善などで、どの程度改善されているか経過を見ることができます。

閉所恐怖症をお持ちの方・MRIが苦手な方にお勧め。必要最低限のシーケンスで撮影を行います。撮影時間は最短10分で終了します。

●脳ドック:MRI検査(脳MRI+頭部MRA)
●脳+[VSRAD]ドック:MRI検査(脳MRI+頭部MRA+VSRAD)
●脳+[BrainSuite]ドック:MRI検査(脳MRI+頭部MRA+BrainSuite)
●脳+[VSRAD+BrainSuite]ドック:MRI検査(脳MRI+頭部MRA+VSRAD+BrainSuite)
●Fast脳ドック:(脳MRI+頭部MRA)
●脳ドック:MRI検査(15分程度)
●脳+[VSRAD]ドック:MRI検査(20分程度)
●脳+[BrainSuite]ドック:MRI検査(20分程度)
●脳+[VSRAD+BrainSuite]ドック:MRI検査(20分程度)
●Fast脳ドック:MRI検査(10分程度)
トンネル状の寝台に仰向けに寝た状態で行います。
検査中は大きな音がしますが、耳栓を装着していただきますのでご安心ください。
検査日から1週間後を目安に郵送いたします。
医師による検査結果を当日ご希望の場合は、検査後30分程度お待ちいただきます。
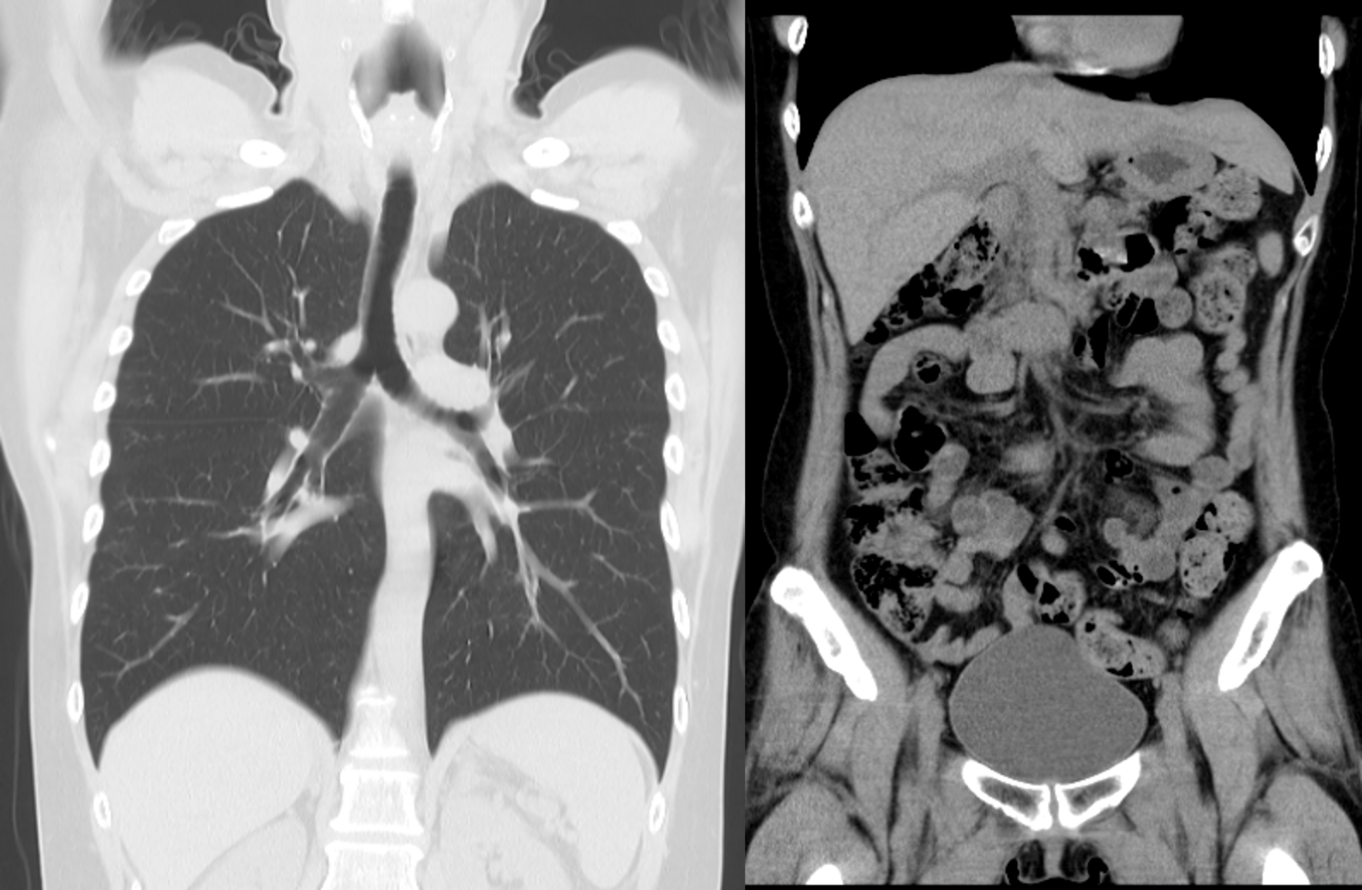
肺がんは日本人男性において最も患者数の多いがんです。喫煙との関係が非常に深いがんですが、たばこを吸わない人でも受動喫煙により発症リスクが高まることもわかっています。肺がんも初期ではほとんど症状がなく、早期発見には肺CT検査が最も有効です。最新のCTでは、超低線量での撮影が可能で、被ばく量は従来の胸部X線1枚分とほぼ同等です。

胸部CT(低線量CT)
5分程度
当院では、被ばく量の少ない低線量CTによる検査を行っています。
低線量CTでは従来の胸部単純X線(レントゲン)検査に比べ早期の肺がんを見つけることが可能で、がんの正確な部位、大きさ、周囲臓器への拡がりやリンパ節への転移の有無など、レントゲンではわからない病変を調べます。寝台に仰向けで寝ていただき、合図に合わせて数秒程度の息止めがあります。
検査日から1週間後を目安に郵送いたします。
医師による検査結果を当日ご希望の場合は、検査後30分程度お待ちいただきます。
胸腹部ドックは胸部から骨盤にかけての検査です。胸部領域は空気を含むためMRIでの評価が困難であり、CTで検査を行います。肝臓や膵臓や腎臓などの腹部領域も同時に評価することができます。CTの検査時間は5分程度ですので、短時間で幅広い部位を検査をしたい方におすすめしています。また、撮影したCT画像を用いて内臓脂肪測定も行っており、これはメタボリックシンドロームの指標にもなっていますので、 肥満を気にされている方にもおすすめです。
●CT(胸腹部~骨盤)+採血(腫瘍マーカー8項目+一般項目(アミラーゼ・トリプシン・HbA1c・肝機能・血液一般+感染症)

15分程度
検査日から2~3週間後を目安に郵送いたします。
医師による検査結果をご希望の場合は、後日受診してください。(保険診療)
DWIBSとは、2004年に開発された新しい検査方法です。悪性腫瘍の細胞密度が高いことを利用して、細胞間の水の動きを捉え、頸部から骨盤まで一度の検査で悪性腫瘍を検出します。全身のがんを検索する検査としてはPET-CTが広く知られていますが、DWIBSはPET-CTとは異なり 放射性薬剤の投与や被ばくがありません。短時間 寝ているだけで全身のがん検索ができます。DWIBSでは正常組織や炎症などでも「異常」として検出することがあります。そのため、当院ではCT画像とDWIBS画像を比較することで、より信頼度の高い検査結果をご提供しています。DWIBSの苦手とする胃や肺、心臓周囲の病変検出が可能となり、逆にDWIBSで検出された「異常」が偽陽性かどうかの確認もできます。
●MRI(DWIBS)+CT(胸腹部~骨盤)+採血(腫瘍マーカー8項目+一般項目(アミラーゼ・トリプシン・HbA1c・肝機能・血液一般+感染症)
60分程度
検査日から2~3週間後を目安に郵送いたします。
医師による検査結果をご希望の場合は、後日受診してください。(保険診療)
※当日結果説明不可※


腹部MRI+MRCP+腹部CT+採血(腫瘍マーカー5項目+一般項目(アミラーゼ・トリプシン・HbA1c・肝機能・血液一般+感染症)
1時間程度
約20分間、トンネル状の寝台に仰向けに寝た状態で検査します。検査中は呼吸の合図があります(20秒程度の息止めがあります)。

同時に行うMRCP(MR cholangiopancreatography: 磁気共鳴胆管膵管撮影)では胆管や膵管の状態がわかるため、胆管拡張症、膵管拡張症、胆石、総胆管結石、胆管がん、膵臓がんの評価などに有効です。検査直前にボースデル(経口造影剤)を服用していただきます。ボースデルを使用することにより膵管や胆管がはっきりと見えるようになり、病気の状態がより正確に把握できます。服用後48時間で、ほぼすべてが体外に排泄されます。
※次のような方は、服用する前に必ず担当の看護師または技師にお知らせください。
1.以前にボースデルを使用してアレルギー症状が出たことがある方。
2.消化管の裂孔またはその疑いのある方。
3.水分の摂取を制限されている方。
4.腹部の外科的手術を受けたことがある方。
5.経口抗生物質、経口抗菌剤を服用している方。
6.授乳中の方
検査日から2~3週間後を目安に郵送いたします。
医師による検査結果をご希望の場合は、後日受診してください。(保険診療)


前立腺MRI+採血(腫瘍マーカー1項目)
30分程度
約20分間、トンネル状の寝台に仰向けに寝た状態で検査します。
検査中は大きな音がしますが、ヘッドフォンを装着していただきますのでご安心ください。
※前立腺ドックは当日結果説明ができかねますのでご了承ください。
検査日から2~3週間後を目安に郵送いたします。
医師による検査結果をご希望の場合は、後日受診してください。(保険診療)

子宮がんは年々増加傾向で、大きな症状が出ないまま進行する場合もあり、 定期的な検診が推奨されています。被ばくの心配がないMRI装置を使用する検査で、 骨盤内臓器を撮像し病巣を早期に発見することが目的です。子宮がんや卵巣がんだけでなく、超音波検査で発見できない疾患や子宮筋腫、 卵巣腫瘍などの発見にも有効です。
子宮内膜の状態は月経周期と共に常に変化しているため、 当院では診断に最適な月経周期5日~14日の間での受診をおすすめしています。

子宮卵巣MRI
30分程度
検査日から1週間後を目安に郵送いたします。
医師による検査結果を当日ご希望の場合は、検査後30分程度お待ちいただきます。

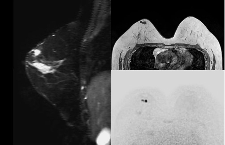
乳がんは日本人女性のがん罹患率第1位です。毎年9人に1人もの女性が乳がんに罹り、今もその患者数が増え続けています。しかし早期に発見して適切な治療を受ければ、高い確率で完全に治すことができます。乳腺MRI検査では、乳房専用の機器をMRIの寝台に取り付けます。検査時にはうつ伏せになっていただき、乳房専用の機器に乳房を入れ検査します。マンモグラフィのように乳房をはさんで圧迫することはありません。また、乳腺の状態は月経周期によって変化します。月経周期5日~14日の間が診断に最適です。
※まつ毛エクステ:乳腺MRIの際にうつぶせの体勢になることで形が崩れる可能性もあるため、まつ毛エクステを外しての検査を推奨しています。

●乳腺ドック:乳腺MRI
●乳腺ドック+乳腺エコー:乳腺MRI+乳腺エコー
●乳腺ドック:30分程度
●乳腺ドック+乳腺エコー:60分程度
検査日から1週間後を目安に郵送いたします。
医師による検査結果を当日ご希望の場合は、検査後30分程度お待ちいただきます。(※乳腺ドックは、隔週木曜・第2・4土曜・日曜に限り当日画像説明が不可です。)


冠動脈MRI+心臓単純CT + 心エコー+採血(CK-MB、NT-proBNP+一般項目)
2時間程度
※心臓ドックは当日結果説明ができかねますのでご了承ください。
下記項目に該当される方は、冠動脈画像の描出が不良となる場合があります。ご了承の上、検査を希望される方はお電話にてご予約くださいますようお願い致します。
●不整脈などの心臓疾患で加療中の方
●冠動脈ステント留置術や心臓血管バイパス術などの手術を受けられた方
●体重が90kg以上の方、高心拍の方(安静時心拍数75以上)も、MRIによる冠動脈の描出が難しいことがありますのでご了承ください。
ご心配な方は一度当クリニックにお電話にてご相談ください。
検査日から2~3週間後を目安に郵送いたします。
医師による検査結果をご希望の場合は、後日受診してください。(保険診療)
