MRIの『コントラスト』について
みなさんこんにちは。
ブログ担当技師です。
このブログでは、MRI(磁気共鳴画像)に関するちょっとした豆知識や、画像に現れる不思議な現象について、可能な限りわかりやすくご紹介していきます。
今回のテーマは、MRIの『コントラスト』について触れたいと思います。
MRI画像を見たとき、「白い部分」と「黒い部分」がありますよね。
MRIの最大の武器は、放射線を使わずに組織ごとの違いを驚くほど鮮明に描き出せること。
医師が的確な診断を下し、放射線技師が腕を振るうための最大の武器、そしてその鍵を握るのが『コントラスト』です。
今回は、MRIのコントラストがどういうものか、どうコントロールされ、臨床でどう活かされるのかを、基礎から解説していきます。
■MRIのコントラストとは?
一言でいうと…組織ごとの“信号の差”を見える形にしたもの。
MRIの画像には色がありません。すべて白から黒へのグラデーションで表現されます。
しかし、この白と黒の濃淡=「コントラスト」こそが、体の中の正常な組織と、隠れた病気を描き出すための命綱なのです。
CTやレントゲンが「X線の吸収差」を見ているのに対して、MRIは水の状態や緩和特性の違いを見ているため、コントラストの作り方が非常に豊富です。
撮り方(パルスシーケンスやパラメータ)を変えることで、コントラストを自在に操れるのが最大の特長です。

💡MRI画像は「白・黒・グレー」の芸術作品
■コントラストを生み出す3つの「組織固有の性質」
1️⃣ T1(縦緩和時間)
RFパルスで倒された磁化が元の方向(縦方向)に回復する速さを表す時間
例:脂肪はT1が短い(速く回復)→ T1強調画像で明るく見える
水はT1が長い(ゆっくり回復)→ T1強調画像で暗く見える
2️⃣ T2(横緩和時間)
横方向の磁化が減衰していく速さを表す時間
例:水はT2が長い(信号が長く残る)→ T2強調画像で明るく見える
脂肪はT2が比較的短い → プロトン密度が高く、T2強調画像ではやや高信号
3️⃣ プロトン密度(PD)
組織中の水素原子核(プロトン)の数の多さ
プロトンが多い組織ほど、信号が強くなるポテンシャルがある
💡これら3つの性質は組織によって異なるため、どの性質を強調するかでまったく違う画像が得られるのです。
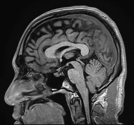
■解剖がクッキリ!『T1強調画像』
まずは「T1強調画像」です。
この画像の特徴は「水が黒く、脂肪が白く映る」こと。
体の構造(解剖)が非常に綺麗に見えるため、「ここは肝臓、ここは筋肉」といった位置関係を把握するのに最適です。
医師が「まずは全体像を把握しよう」という時に、真っ先に見る地図のような役割を果たします。

なぜこの設定?
✓TRを短くする → T1が短い組織(脂肪)は十分に回復しているが、T1が長い組織(水・脳脊髄液)はまだ回復途中 → T1の差がコントラストになる
✓TEを短くする → T2による減衰の差が出る前にデータを取得 → T2の影響を最小化

臨床での使いどころ:脳の解剖構造の把握、造影剤使用後の病変検出、脂肪を含む病変の評価など
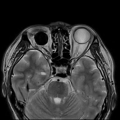
■病変がピカッと光る!『T2強調画像』
次は「T2強調画像」です。
こちらはT1とは逆で、「水が白く映る」のが最大の特徴です。
人間の体は、炎症を起こしたり腫瘍ができたりすると、そこに水分が溜まる(浮腫)性質があります。
つまり、T2強調画像では「異常な部分が白く光って見える」のです。
病気を見つけ出すための最強のサーチライトと言えるでしょう。

なぜこの設定?
✓TRを長くする → ほぼすべての組織が十分にT1回復を完了 → T1の差が消える
✓TEを長くする → T2が短い組織は信号が低下、T2が長い組織はまだ信号が残る → T2の差がコントラストになる
臨床での使いどころ:脳梗塞、炎症、浮腫、腫瘍の検出—病変の多くは水分を含むため、T2WIで白く光って見えるのが大きな強みです。
■第3の切り札『プロトン密度強調画像』
T1、T2に次いで重要なのが「プロトン密度強調画像」です。
これは単純に「水(水素)がどれくらい含まれているか」を反映します。
特に整形外科の領域で大活躍しており、膝の半月板や関節の軟骨、靭帯の細かい損傷を見るコントラストに優れています。
スポーツ障害の診断などには欠かせない画像です。

なぜこの設定?
✓T1の差もT2の差も抑えられ、組織中のプロトンの量(水素原子の密度)がコントラストを決める画像になります。

臨床での使いどころ:関節・半月板の評価、脱髄疾患の検出など
■コントラストを操る!
MRIはボタンをポンと押せば綺麗な画像が出るわけではありません。
TR(繰り返し時間)やTE(エコー時間)といったパラメータをミリ秒単位で調整し、患者さんの体格や病気に合わせて最高のコントラストを引き出すのが放射線技師の仕事です。
同じ機械でも、技師の知識と技術によって「病気の見え方」が劇的に変わるのがMRIの面白いところです。
「何が写っているか」だけでなく、なぜそう見えるのかを理解すると一気に面白くなります。
コントラストを知ることは、MRIを“見る”から“読む”へ進む第一歩です。
一般の方は、次にMRIを撮る機会があれば「これは水が白いからT2かな?」と想像してみてください。
医療従事者の方は、日々の診療で一枚一枚の画像に込められたコントラストの意図を改めて感じていただければ幸いです。
■新大阪画像のMoRI診断クリニックのMRI情報ブログ
~これからも「一味違う」画像を~
「ここで撮った画像は、なんだか見やすいね」
「想像していたよりも楽に検査できたよ」
そう言っていただけることが、非常に嬉しい瞬間です。
これからもスタッフ一同、自己研鑽を続け、患者さんや医師にとって価値ある画像を提供できるよう努力してまいります。
MRIの可能性はまだまだ広がっています。